Many people, especially those in middle age or older, experience memory loss during their lifetime, and most would jump to the conclusion that they suffer from Alzheimer’s disease. However, Alzheimer’s disease is not the only cause of memory loss. You’d be surprised to know that memory loss can be related to your health!

Here are 5 surprising causes of memory loss that you may not have considered:

1. Medication – According to the FDA, there are several drugs that can cause memory loss, which could possibly mean that your medications need to be adjusted. Such types of drugs are diabetes medications, antidepressants, sleeping pills, painkillers, and antihistamines. In addition, medications that lower cholesterol could cause reversible cognitive side effects such as confusion and memory loss.

2. Sleep Apnea – Sleep apnea is a severe sleep disorder which causes a person’s breathing to be disrupted during sleep. If left untreated, people stop breathing intermittently during the night, causing the brain and body to be depleted of oxygen. Dementia and memory loss can be linked to this intermittent sleeping. REM (Rapid Eye Movement) sleep, also known as deep sleep, is critical to memory. If that cycle is interrupted, memory loss can occur.

3. Mental Health Issues – For those people who are not sleeping well due to significant anxiety or stress can experience memory loss. Additionally, having untreated long-term stress can lead to symptoms of depression, which can affect brain function.

 

 

4.Silent Stroke – Some people have strokes without even knowing they’re having a stroke. These are known as silent strokes, and they can cause permanent brain damage. Because strokes cause major blood vessels in the brain to be blocked, memory loss can occur.

 

5. Nutritional Deficiency – It’s a little known fact that one of the most essential B vitamins, B12, is crucial for nerve function. Lacking B12 can lead to confusion, and even more seriously, dementia. The FDA recommends that you get approximately 2.5mcg of B12 daily in your diet. These can come from such sources as meat, fish, dairy, and foods fortified with B12 such as certain cereals.

There are of course, less common, conditions that may cause memory loss:

 

1. Alcoholism/Substance Abuse – It’s no secret that drug abuse and drinking excessive amounts of alcohol can cause memory problems. According to American Addiction Centers, alcohol causes “memory impairment, blackout, recklessness and impaired decision-making” in moderate drinkers, and “diminished brain size, inability to think abstractly, loss of visuospatial abilities, Wernicke-Korsakoff syndrome, memory loss, and loss of attention span” in heavy/chronic drinkers.

 

2. Head Injuries – Brain and/or head injuries can definitely affect your memory. Confusion and memory loss are very common for those with brain injuries, and can be not only frustrating but dangerous. In addition, other symptoms of brain injury, such as stress, fatigue, strong emotions, and illness can worsen problems with memory.

 

3. Infections – Some types of severe brain infections, such as neurosyphilis, lyme disease, and HIV/AIDS can cause memory issues. In an article by James M. Ellison, MD, MPH, a patient was diagnosed with Creutzfeldt-Jakob disease, the “human form of ‘mad cow disease’”.

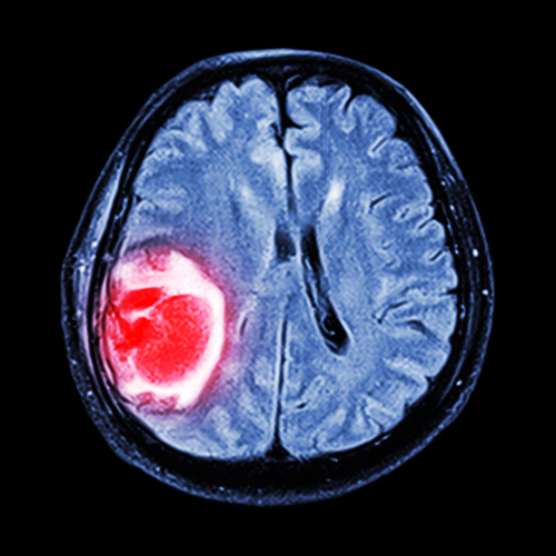
4. Tumors – Your cognitive abilities can be affected by a tumor, and more ironically its treatment. If the tumor is located in your brain, more than likely it will affect your brain’s function. The treatment for the tumor, such as chemotherapy, surgery, and radiation, can even have an effect on your memory.

 

 

So, the bottom line is that if you are over 50 years of age, some type of memory loss can be quite common. However, if you are concerned about cognitive impairment research the listed causes. Otherwise, please visit your physician for more information.